产品分类

联系我们/Contact

手机:18398922991

座机:0827-5208006
传真:0827-5208006
QQ:751175283

联系人:陈院长
邮箱:yangxiuming8@126.com
地址:四川省巴中市巴州区严公庙街四巷子39号



分店门店地址:江北大道中段建行家属院恒丰饭店对面

电话号码:0827_5261899



        欢迎关注巴中掌上牙医

公司简介


        巴州白玉牙科诊所是一家私人经营的高端牙科诊所,成立于2009年。地址位于四川省巴中市巴州区严公庙街四巷子39号。设牙体牙髓病科、牙周病科、口腔黏膜病科、口腔颌面外科、口腔修复科、口腔正畸科、儿童口腔科、预防口腔科、口腔特需门诊、口腔种植科等科室。

    口腔内科以治疗保存患牙为宗旨,主要治疗牙体牙髓病、牙周病、……

案例/Case

设备展示

口腔检查

洗牙洁牙

牙周治疗

无痛拔牙

乳牙拔除

根管治疗

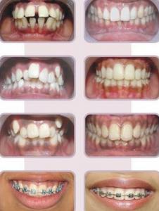
儿童矫正牙齿

牙齿修复

牙齿种植